Coroane Dentare:
Estetică și Funcționalitate
Transformă-ți zâmbetul cu coroanele dentare! Aceste soluții personalizate nu doar că îmbunătățesc aspectul dinților, dar oferă și o rezistență excelentă, asigurând funcționalitate pe termen lung. Alege coroanele dentare pentru un zâmbet frumos și sănătos!
Stabilește
o consultație
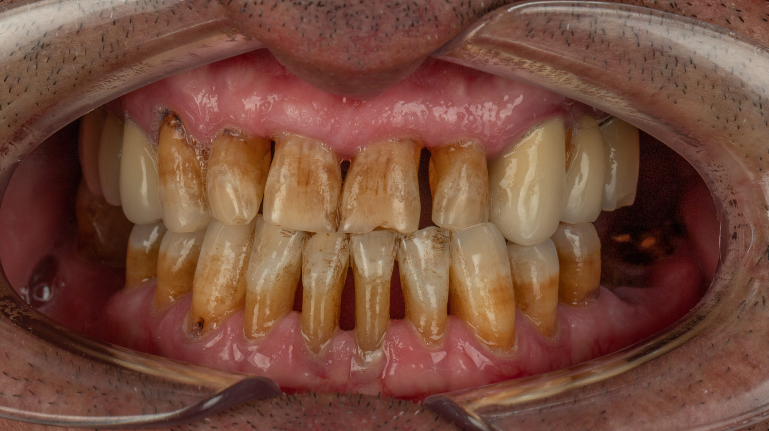
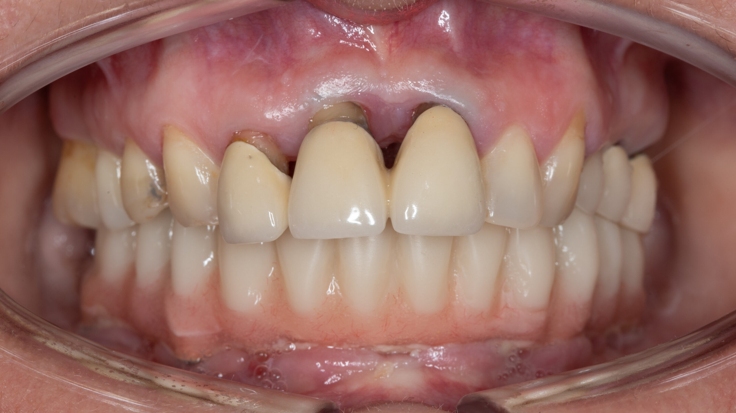
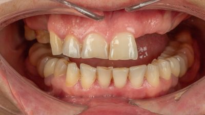
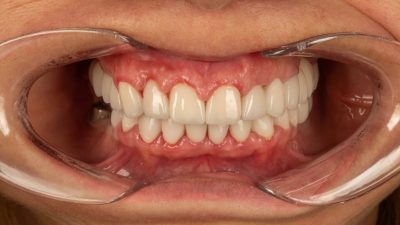
BEFORE ──── AFTER
De la disconfort la încredere: Îmbunătățiri uimitoare cu coroanele dentare!
cu coroane dentare este exact soluția de care ai nevoie!
Lasă-te convins de imaginile Before and After că tratamentul cu coroane dentare este exact soluția de care ai nevoie!


PĂRERI ──── AUTENTICE
Descoperă experiențele pacienților noștri!
Recenzii
și evaluări
Comentarii
ale pacienților
Larisa Ciobanu2024-11-20recomandă Mulțumesc mult.Ma-m simțit foarte bine în aciastă clinică. Medici profesioniști . Татьяна Чебану2024-11-14recomandă Un mare multumesc echipei Smile Dent, indeosebi Dlui Evghenii Moisei. A aratat un adevarat professionalism in ceia ce face. Bafta multa! Lucia Prodan2024-10-24recomandă Am ocazia să merg la această clinică stomatologică propusă de prieteni. Medicii sunt foarte buni și profesioniști, acordă o atenție deosebită detaliilor și problemele pacienților. Sunt extrem de mulțumită de serviciile oferite și recomand cu cea mai mare încredere această clinică.Calitatea lucrărilor sunt efectuate la cel mai înalt nivel…. Recomand 💯 !!!! Ionelia Chiscop2024-07-23recomandă Am rămas plăcut surprinsă de tot ceea ce însemnă Smile Dent Team. Am întâlnit oameni cum rar găsești și am fost tratată cu profesionalism. Le mulțumesc echipei de medici Hamuraru Valeriu, Baltaga Ion și Apostol Ion! Nata Jana2024-07-19recomandă „Împărtășește-ți zâmbetul lumii. Este un simbol al prieteniei și păcii.” – Christie Brinkley Vin să mă împart cu bucuria de a avea un zâmbet sănătos la care visam! 🥰😃 Nu a fost ușor, dar s-a meritat pe deplin! 💯🥳 Mulțumesc echipei SDT pentru profesionalism, în special dlui Ghetiu Iulian și Ghetiu Constantin, precum și coordonatoarei Valeria, care m-a ghidat și a avut răbdarea să-mi răspundă la mulțimile întrebări☀️🙏🙏🙏💯 Recomand cu drag 😇 Smile Dent Team 👍👍👍🙌🙌🙌💯💯💯❤️ Eugenia Scutaru2024-05-27recomandă Recomand cu încredere Smile Dent Team, o echipă de nota 10, ce oferă servicii de înaltă calitate! Sincere mulțumiri medicilor Iulian Ghețiu și Roman Stadnițchi! Anastasia Lidia Todasca2024-05-03recomandă Recomand cu drag! Multumesc Managerului meu doamna Adriana si echipei. Am fost primita si tratata cu respect, mi s-a explicat exact ce o sa mi se faca iar preturile sunt foarte mici. Calitatea este superioara❤️. PS : inca sunt aici, astazi mi au fost inserate implanturile si imi era foarte teama dar toata echipa s a asigurat ca o sa fiu bine si le multumesc din suflet. Natalia Cheptene2024-01-30recomandă Finalitate! Mulțumiri medicilor: Mardari Vasile, Fanea Viorel, Victoriei Potinga; managerului - Nadejda Hadjiu. Profesionalismul și dăruirea sunt pilonii de încredere ce Vă caracterizează! Echipă de nota ,,10'' care readuce zâmbetul și încrederea. Daniel Dumitru2023-12-20recomandă Recomand cu sinceritate. medicii profesionisti si lucru rapid.
SOLUȚIA ──── IDEALĂ
Când este necesară
o coroană dentară?
Dinte grav cariat
Atunci când o carie extinsă a afectat semnificativ structura dintelui.
Dinte fracturat
Pentru restaurarea și protecția unui dinte spart sau fisurat.
După tratament de canal
Un dinte tratat endodontic (canal) are nevoie de protecție suplimentară pentru a preveni fracturarea.
Dinte decolorat sau deformat
Atunci când o carie extinsă a afectat semnificativ structura dintelui.
Implant dentar
Pentru a corecta dinți inestetici din punct de vedere al culorii sau formei.
Pentru consolidarea unui dinte slăbit
Atunci când dintele este prea slăbit pentru a susține o plombă obișnuită.
GHIDUL ──── PROCEDURII
Pas cu Pas: Etapele de realizare a unei Coroane Dentare
1
Consult inițial și
evaluare
Medicul stomatolog va evalua starea dintelui și va discuta
opțiunile de tratament.
2
Pregătirea dintelui
În această etapă, dintele este modelat pentru a putea susține coroana.
3
Amprenta dentară
Se ia o amprentă precisă a dintelui pentru a realiza o coroană perfect adaptată.
4
Coroană provizorie
În timp ce coroana finală este realizată în laborator, vei purta o coroană provizorie.
5
Fixarea coroanei definitive
Coroana este fixată pe dinte, ajustată pentru a se potrivi perfect și polizată pentru confort maxim.
ZÂMBETE ──── REGĂSITE
Cazuri clinice
INVESTIȚIE ──── DENTALĂ
Plan de prețuri
Investiția în sănătatea
ta dentară începe cu noi.
Ce este o coroană dentară?
O coroană dentară este o proteză fixă care acoperă și protejează un dinte deteriorat sau cu o structură compromisă. Acestea sunt folosite pentru a întări dinții slăbiți, pentru a îmbunătăți aspectul dinților fracturați sau pentru a înlocui dinți lipsă cu ajutorul unui implant dentar
RELAXARE ──── SIGURANȚĂ
De ce să ne alegi?
Experiență și excelență
15 ani de succes și inovație în stomatologie
Tehnologie modernă
Soluții de top pentru tratamente durabile și functionale
Echipa de profesioniști
Inovație continuă
Laborator propriu unde tehnologia întâlnește excelența
RELAXARE ──── SIGURANȚĂ
Zâmbete fericite
noștri după tratamente
Smile Dent Team - Apariții Media
Cine suntem?
Smile Dent Team este mai mult decât o clinică stomatologică. Suntem o echipă de profesioniști dedicați excelenței, cu o istorie de peste 15 ani în care am reușit să transformăm zâmbetele a peste 40.000 de pacienți.
De-a lungul timpului, am evoluat de la simple tratamente stomatologice la construirea unor relații de încredere și prietenii durabile cu pacienții noștri.
Ne mândrim cu o echipă formată din peste 600 de specialiști, iar prezența noastră internațională, cu 9 filiale, ne permite să oferim servicii la standarde ridicate pentru pacienți din întreaga lume.
INOVAȚIE ──── CONTINUĂ
Ce facem?
Misiunea noastră este simplă: să redăm sănătatea și frumusețea zâmbetului tău. Folosim cele mai moderne tehnologii și soluții stomatologice pentru a oferi tratamente personalizate și de lungă durată.
În cadrul Smile Dent Team, tratăm fiecare caz cu maximă atenție și precizie. De la coroane dentare de înaltă calitate până la implanturi dentare și reabilitări totale ale cavității bucale, oferim soluții complete care combină inovația, confortul și estetică superioară.
Cu un laborator propriu, dotat cu tehnologie de ultimă generație, ne asigurăm că fiecare pacient primește tratamente perfect adaptate nevoilor sale.
Zâmbete transformate cu succes
Realizări remarcabile împreună
Specialiști în echipă
Zâmbete transformate cu succes
Realizări remarcabile împreună
Specialiști în echipă
DESPRE ──── NOI
Cine suntem?
Smile Dent Team este mai mult decât o clinică stomatologică. Suntem o echipă de profesioniști dedicați excelenței, cu o istorie de peste 15 ani în care am reușit să transformăm zâmbetele a peste 40.000 de pacienți.
De-a lungul timpului, am evoluat de la simple tratamente stomatologice la construirea unor relații de încredere și prietenii durabile cu pacienții noștri.
Ne mândrim cu o echipă formată din peste 600 de specialiști, iar prezența noastră internațională, cu 9 filiale, ne permite să oferim servicii la standarde ridicate pentru pacienți din întreaga lume.
DESPRE ──── NOI
Cine suntem?
Smile Dent Team este mai mult decât o clinică stomatologică. Suntem o echipă de profesioniști dedicați excelenței, cu o istorie de peste 15 ani în care am reușit să transformăm zâmbetele a peste 40.000 de pacienți.
De-a lungul timpului, am evoluat de la simple tratamente stomatologice la construirea unor relații de încredere și prietenii durabile cu pacienții noștri.
Ne mândrim cu o echipă formată din peste 600 de specialiști, iar prezența noastră internațională, cu 9 filiale, ne permite să oferim servicii la standarde ridicate pentru pacienți din întreaga lume.

